
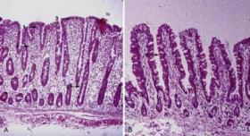
Pathology of Celiac Disease
This activity will examine the pathology of celiac disease in order to provide healthcare professionals with a strong understanding of the role of pathology in diagnosing celiac disease and differentiating from similar pathologies.
Medium: Video with PPT, eLearning
Activity Length: 48:49 minutes
Test Time: 5 minutes
Commercial Support: Educational grant funding has been generously provided by Mead Johnson & Company, LLC.
Test Time: 5 minutes
Commercial Support: Educational grant funding has been generously provided by Mead Johnson & Company, LLC.
Target Audience
This activity has been designed for physicians and other healthcare professionals in gastroenterology, internal medicine, family medicine, pediatrics, orthopaedics, psychiatry, and endocrinology as well as nutritionists and dieticians who are interested in the diagnosis, management, and treatment of celiac disease.
Learning Objectives
At the conclusion of this activity, the participants will be able to:
- Describe the role of the pathologist in the diagnosis of celiac disease;
- Recognize the classic histologic features of celiac disease in duodenal biopsies;
- Identify other pathologic conditions that can mimic celiac disease histologically.
AUTHOR
Selected Publications & Additional Resources
View a partial list of Dr. Hart's publications through the National Library of Medicine's PubMed online database.
DISCLOSURE DECLARATIONS
As a provider accredited by the ACCME, The University of Chicago Pritzker School of Medicine asks everyone who is in a position to control the content of an education activity to disclose all relevant financial relationships with any commercial interest. The ACCME defines "relevant financial relationships" as financial relationships in any amount, occurring within the past 12 months, including financial relationships of a spouse or life partner, that could create a conflict of interest.
Additionally, the University of Chicago Pritzker School of Medicine asks Authors to identify investigational products or off-label uses of products regulated by the U.S. Food and Drug Administration, at first mention and where appropriate in the content.
John Hart, MD has no relevant financial relationships to disclose.
Stefano Guandalini, MD has served as a consultant for ThermoFisher and BioGaia. Ronit Rose, Carol McCarthy Shilson, and the staff of the University of Chicago Center for Continuing Medical Education have no relevant financial relationships to disclose.
As a provider accredited by the ACCME, The University of Chicago Pritzker School of Medicine asks everyone who is in a position to control the content of an education activity to disclose all relevant financial relationships with any commercial interest. The ACCME defines "relevant financial relationships" as financial relationships in any amount, occurring within the past 12 months, including financial relationships of a spouse or life partner, that could create a conflict of interest.
Additionally, the University of Chicago Pritzker School of Medicine asks Authors to identify investigational products or off-label uses of products regulated by the U.S. Food and Drug Administration, at first mention and where appropriate in the content.
John Hart, MD has no relevant financial relationships to disclose.
Stefano Guandalini, MD has served as a consultant for ThermoFisher and BioGaia. Ronit Rose, Carol McCarthy Shilson, and the staff of the University of Chicago Center for Continuing Medical Education have no relevant financial relationships to disclose.
Accreditation Statement
The University of Chicago Pritzker School of Medicine is accredited by the Accreditation Council for Continuing Medical Education to provide continuing medical education for physicians.
The University of Chicago Pritzker School of Medicine is accredited by the Accreditation Council for Continuing Medical Education to provide continuing medical education for physicians.
Credit Designation Statement
The University of Chicago Pritzker School of Medicine designates this live activity for a maximum of .50 AMA PRA Category 1 Credits™. Physicians should claim only the credit commensurate with the extent of their participation in the activity.
The University of Chicago Pritzker School of Medicine designates this live activity for a maximum of .50 AMA PRA Category 1 Credits™. Physicians should claim only the credit commensurate with the extent of their participation in the activity.
Nurses and other healthcare professionals will receive a Certificate of Participation. For information on the applicability and acceptance of Certificates of Participation for educational activities certified for AMA PRA Category 1 Credit™ from organizations accredited by the ACCME, please consult your professional licensing board.
Instructions for Participation and Claiming Credit
This online educational activity (enduring material) is designed to be completed within the time designated. To successfully earn credit, participants must complete the activity online during the valid credit period. To receive AMA PRA Category 1 Credit™ , the participant must watch the complete video presentation and correctly answer 4 out of 5 questions (80% pass rate) on the post-test. The test can be accessed by simply clicking "Complete Activity" and watching the video presentation. Once finished, you will be able to proceed to the post-test. Upon successful completion, the participant may claim credit and save or print their certificate (pdf).
Certificate of Credit
Physicians: Only physician participants (MD, DO, or equivalent international medical degree) are eligible to receive AMA PRA Category 1 Credit™.
Certificate of Participation
Non-Physicians: will receive a certificate indicating participation in this AMA PRA Category 1 Credit™ approved activity. For information on the applicability and acceptance of certificates of participation for educational activities certified for AMA PRA Category 1 Credit™ from organizations accredited by the ACCME, please consult your professional licensing board.
For questions about CME credit or technical issues, please contact the Center for CME at The University of Chicago at [email protected].
DISCLAIMER The information presented in this activity is for continuing medical education purposes only. The opinions expressed in this educational activity are those of the faculty and do not necessarily represent the views of the University of Chicago Pritzker School of Medicine, the University of Chicago Medicine, or the Department /Section.
Please login or create an account to proceed.

Facebook
X
LinkedIn
Forward